Skip to content
Your Trusted Dental Services Provider
Open Time
Mon-Sat: 4pm-8pm
Call us
0324 9404074
Office Address
Dentafix Dental Clinic
Meet Dr Farhan Zaib
Treatment Options
Orthodontics
Dental Hygiene and Polishing
Cosmetic Dentistry
Dental Implants
Teeth Whitening
Impacted Wisdom Teeth
Crown and Bridge
Teeth Extraction
Root Canal Therapy (RCT)
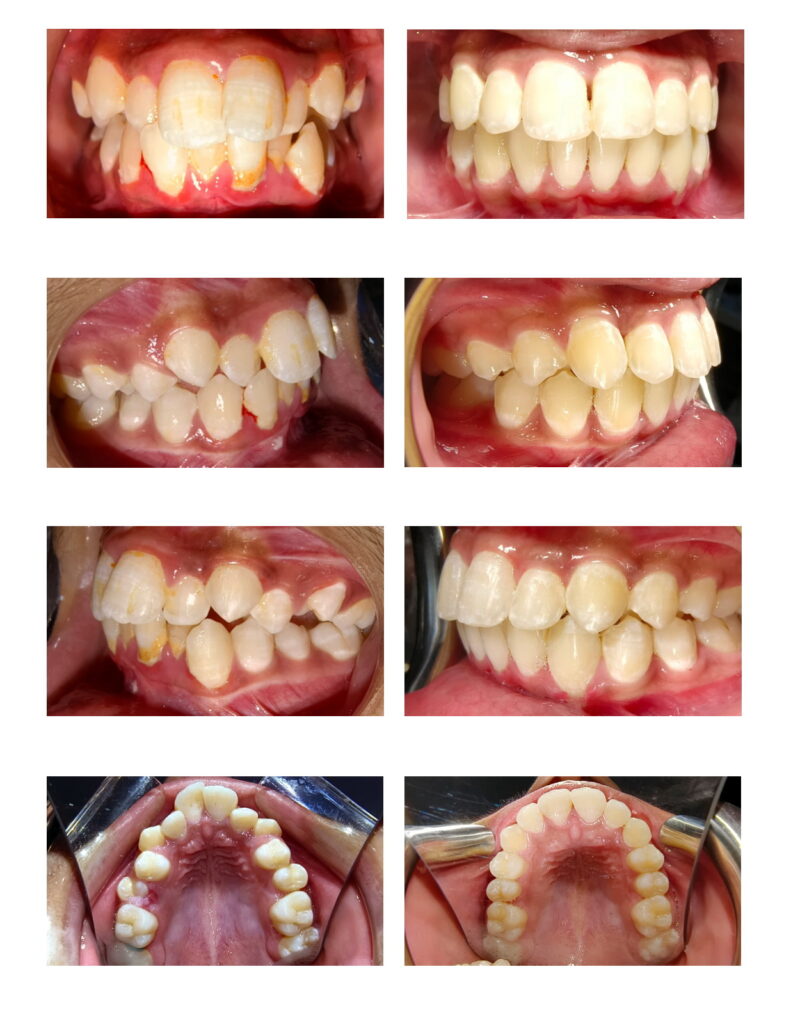
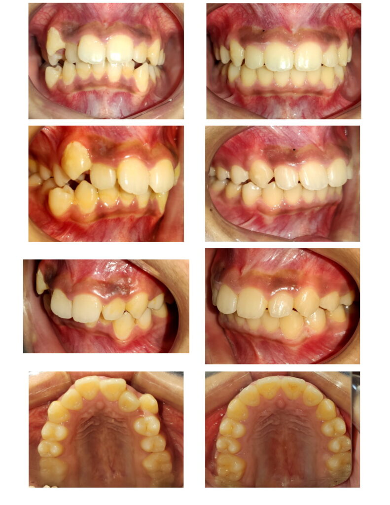
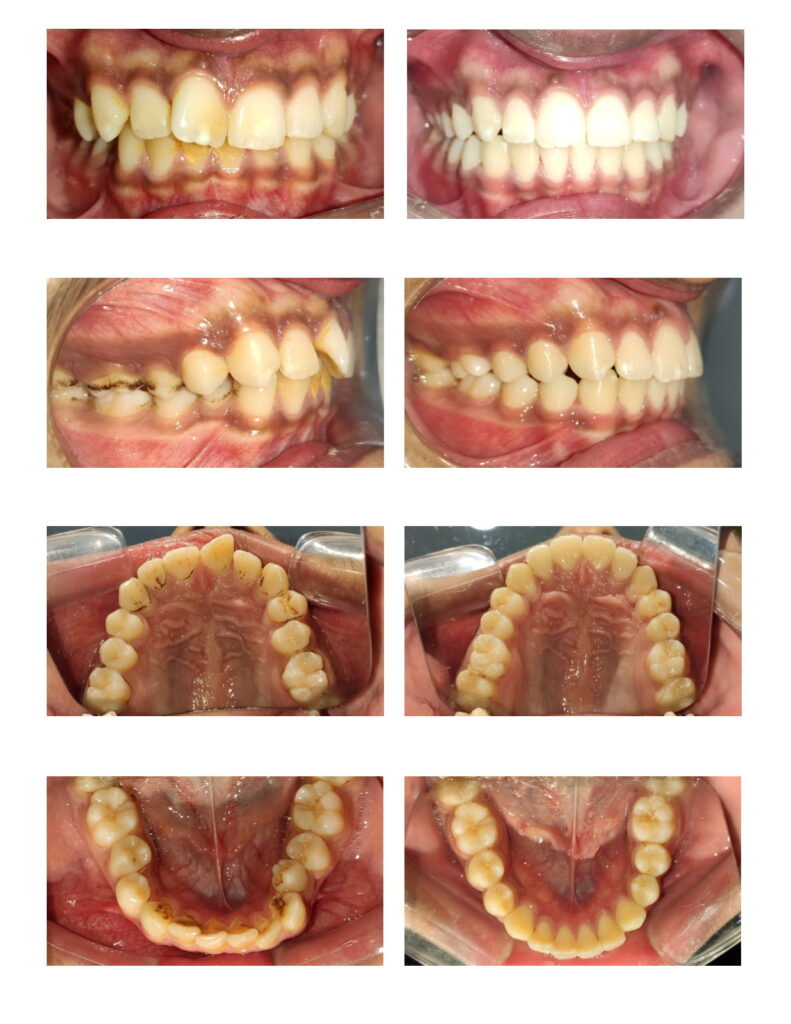
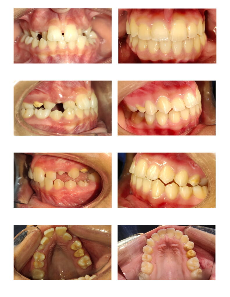
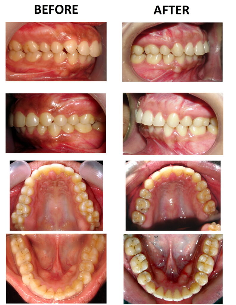
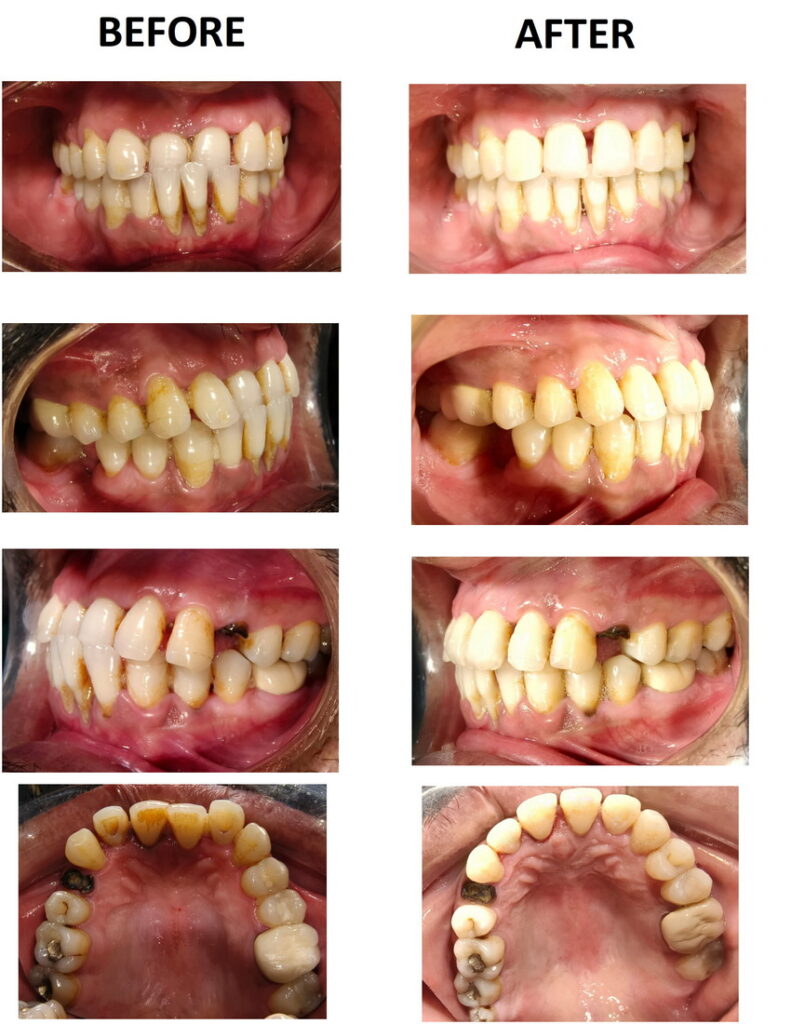
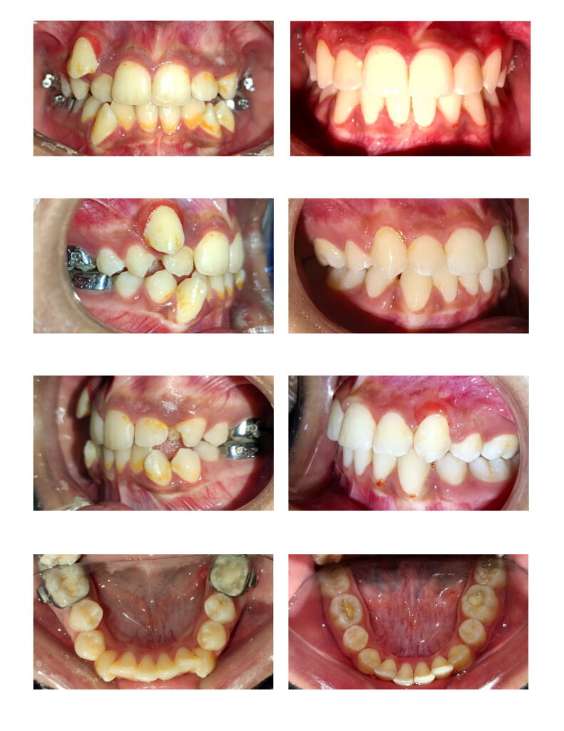
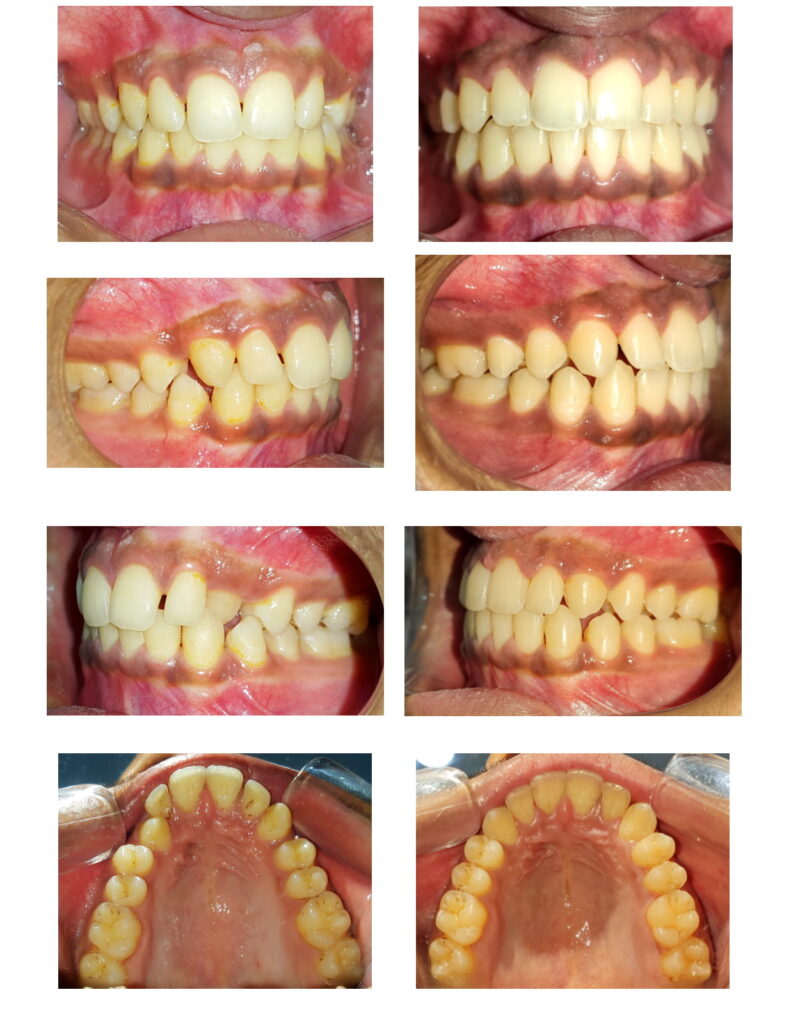
Before and After Results
About Us
Our Specialist Team
FAQ
Reviews
Blog
Before & After
Dr Farhan Zaib
>
Before & After
Search for:
Before & After